Trang thông tin điện tử Bệnh Viện Đa Khoa Hòa Bình

Can thiệp mạch vành kịp thời cứu sống người bệnh nhồi máu cơ tim tại Bệnh viện Đa khoa Hòa Bình

14/03/2026
Share

Nhờ phát hiện sớm và xử trí kịp thời, các bác sĩ Bệnh viện Đa khoa Hòa Bình đã can thiệp mạch vành thành công, cứu sống một người bệnh nhồi máu cơ tim cấp với tổn thương hẹp tới 95% động mạch vành. Trường hợp này tiếp tục khẳng định năng lực chuyên môn và khả năng triển khai hiệu quả các kỹ thuật can thiệp tim mạch hiện đại tại bệnh viện, góp phần nâng cao chất lượng cấp cứu và điều trị các bệnh lý tim mạch nguy hiểm cho người dân trên địa bàn.

 

 

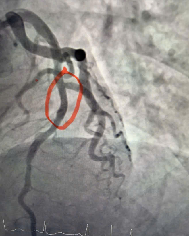
Hình ảnh chụp động mạch vành cho thấy hẹp 95% đoạn 1 động mạch liên thất trước – nhánh thủ phạm gây nhồi máu cơ tim cấp.

 

Vừa qua, Bệnh viện Đa khoa Hòa Bình tiếp nhận người bệnh Bùi Văn T., 60 tuổi, đến khám trong tình trạng đau ngực dữ dội vùng sau xương ức, cảm giác bóp nghẹt, kèm mệt mỏi. Nhận thấy những dấu hiệu bất thường và không chủ quan với sức khỏe của mình, người bệnh đã chủ động đến bệnh viện để được thăm khám.

 

Qua thăm khám lâm sàng kết hợp thực hiện điện tâm đồ, xét nghiệm và các phương tiện chẩn đoán hình ảnh cần thiết, đã phát hiện người bệnh bị nhồi máu cơ tim cấp – một bệnh lý tim mạch nguy hiểm, có thể tiến triển nhanh và gây hậu quả nghiêm trọng nếu không được chẩn đoán và xử trí kịp thời.

 

Ngay sau khi xác định chẩn đoán, người bệnh được xử trí theo quy trình cấp cứu tim mạch và nhanh chóng chuyển đến đơn vị can thiệp tim mạch.

 

 

Hình ảnh động mạch vành sau can thiệp đặt stent, dòng máu nuôi cơ tim được tái thông tốt.

 

 

Ê-kíp bác sĩ Bệnh viện Đa khoa Hòa Bình thực hiện can thiệp mạch vành cho người bệnh nhồi máu cơ tim cấp.

 

Ê-kíp bác sĩ Khoa Nội Tim mạch đã tiến hành chụp động mạch vành, kết quả cho thấy động mạch liên thất trước đoạn 1 – nhánh thủ phạm gây nhồi máu – bị hẹp tới 95%. Người bệnh được can thiệp nong và đặt stent động mạch vành, giúp tái thông dòng máu nuôi cơ tim, hạn chế tối đa tổn thương cơ tim và các biến chứng nguy hiểm.

 

Sau can thiệp, dòng chảy mạch vành được tái thông tốt, tình trạng người bệnh ổn định, triệu chứng đau ngực giảm rõ rệt và tiếp tục được theo dõi, điều trị theo phác đồ chuyên môn về bệnh mạch vành cấp.

 

Theo BsCK2 Trần Hoàng Dương– PGĐ, Trưởng khoa Nội Tim mạch, nhồi máu cơ tim cấp là một trong những bệnh lý tim mạch nguy hiểm, có thể đe dọa tính mạng nếu không được chẩn đoán và can thiệp kịp thời.

 

“Việc người bệnh chủ động đến khám ngay khi xuất hiện các dấu hiệu đau ngực đã giúp chúng tôi phát hiện sớm và triển khai can thiệp mạch vành kịp thời, qua đó hạn chế tối đa tổn thương cơ tim và nguy cơ biến chứng nguy hiểm”, bác sĩ Dương cho biết.

 

Hiện nay, Bệnh viện Đa khoa Hòa Bình đã làm chủ nhiều kỹ thuật chẩn đoán và can thiệp tim mạch hiện đại, đặc biệt là chụp và can thiệp động mạch vành qua da, góp phần nâng cao hiệu quả điều trị các bệnh lý tim mạch nguy hiểm ngay tại tuyến tỉnh, giúp người dân được tiếp cận dịch vụ y tế chất lượng cao mà không cần chuyển tuyến.

 

Bệnh viện khuyến cáo người dân không nên chủ quan trước các dấu hiệu như đau ngực, tức ngực, khó thở, cảm giác nặng ngực, mệt mỏi bất thường…, dù triệu chứng có thể xuất hiện thoáng qua. Việc thăm khám sớm tại các cơ sở y tế có đủ năng lực chuyên môn và trang thiết bị sẽ giúp phát hiện sớm và điều trị kịp thời các bệnh lý tim mạch, góp phần bảo vệ sức khỏe và tính mạng người bệnh.

Tin tức liên quan